SM Journal of Nephrology and Kidney Diseases

Current Issue

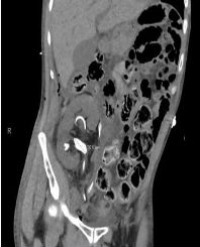
Article Image 1

Transplant Renal Artery Stenosis Following Ex vivo Renal Artery Endarterectomy: Report on Two Cases

Introduction: Transplant renal artery stenosis (TRAS) is the most common vascular complication following kidney transplantation. Deceased donor kidneys exhibiting severe atherosclerosis involving the renal artery, if untreated, represent one cause of TRAS.

Methods: We report herein two cases of TRAS that occurred following back bench ex vivo eversion endarterectomy (EE) prior to deceased donor kidney transplantation (DDKT).

Results: Both patients presented in the first year following DDKT with worsening hypertension and one patient experienced acute kidney injury. Duplex ultrasonography was suspicious for markedly elevated renal artery velocities in the proximal to mid-renal artery segment with evidence for distal turbulence. Subsequent arteriography through an ipsilateral femoral approach confirmed severe TRAS that was successfully treated with balloon angioplasty and stenting. Both patients experienced improvements in blood pressure control, and one patient had resolution of acute kidney injury.

Conclusion: Ex vivo EE may be performed successfully as a rescue procedure to prevent nonuse of donor kidneys with severe intrinsic atherosclerosis. However, these patients may still be at risk for developing TRAS, possibly from a localized dissection occurring secondary to an intimal flap.

Rana Kumar, Arianna Cabrales, Giuseppe Orlando, Christopher Webb, Emily McCracken, Alan C. Farney, and Robert J. Stratta*


Article Image 1

Accidental Transplantation of a Deceased Donor Kidney with a Large Calculus: Case Review and Management

Historically, the presence of stones in a donor kidney has been a contraindication to kidney use for transplantation. However, favorable experiences transplanting living donor kidneys with isolated stones as well as successful management of de novo stone formation following living or deceased donor kidney transplantation have provided insights regarding the benefits and risks of this strategy. The limited supply of available donor kidneys has led to a reexamination of donor selection criteria to meet demand. This reevaluation is also influenced by medical advancements that have allowed for the safe management of allograft kidney stones without compromising outcomes. Herein we report the accidental transplantation of a kidney with a large pre-existing calculus from an otherwise acceptable deceased donor. Based on literature review and given the benefits of kidney transplantation versus dialysis in the setting of prolonged waiting times, expansion of the donor pool to include kidneys with large or multiple stones may be a feasible option to improve utilization and access without necessarily compromising subsequent outcomes.

Jigish B. Vyas1, Randy K. Casals2, Colin E. Kleinguetl2, Bradley M. Swinson3, Christopher J. Webb1, Alan C. Farney1 and Robert Stratta1*


Article Image 1

Collapsing FSGS in a Kidney Transplant Recipient on Sirolimus Following Treatment for Resistant CMV Viremia

Background: Proteinuria occurs commonly in transplant recipients treated with mechanistic target of rapamycin inhibitor (mTORi); although cause is unclear. Different mechanisms have been proposed such as podocyte injury due to the inhibitory effects of sirolimus on glomerular VEGF protein synthesis. Here, we describe a case of new-onset nephrotic range proteinuria and subsequent development of collapsing focal segmental glomerulosclerosis that occurred after conversion from tacrolimus to mTORi in a kidney transplant recipient in the setting of treating resistant CMV viremia.

Presentation: A 64-year-old woman with autosomal dominant polycystic liver and kidney disease underwent a second deceased-donor kidney transplant (November 2023). She was CMV high-risk (D+/R–) and initially demonstrated excellent allograft function. Six-months post-transplant, she developed severe CMV-viremia refractory to valganciclovir, requiring sequential therapy with ganciclovir, foscarnet, maribavir, letermovir, and adjunctive CMV immune globulin. Immunosuppression was reduced, including discontinuation of mycophenolate and conversion from tacrolimus to sirolimus. reduction in proteinuria. Two months after initiating sirolimus, she abruptly developed nephrotic-range proteinuria (19 g/day) and a rapid increase in serum creatinine from baseline of 1.2 to 2.9 mg/dL. Renal transplant biopsy showed changes consistent with focal segmental glomerulosclerosis with features of collapsing glomerulopathy, and CMV immunostaining was negative. Sirolimus was discontinued and tacrolimus reintroduced, resulting in partial recovery of renal function and significant

Discussion: This case highlights sirolimus-associated collapsing FSGS as an important and potentially reversible cause of severe proteinuria in kidney transplant recipients. The clinical course underscores the need for careful monitoring of proteinuria following mTORi initiation.

Akil Kavcar1, Leigh-Anne Dale1, Shilpa Venkataraman2, Seymour Rosen2 and Bhavna Chopra1*


Article Image 1

Emerging Biomarkers for Transplant Diagnostics for Long-Term Graft Survival

Organ transplantation remains the definitive therapy for end-stage organ failure, yet long-term graft survival depends on precise and timely detection of injury. Conventional markers such as serum creatinine and histology identify damage only after functional decline. In contrast, emerging molecular and functional biomarkers—spanning mRNA and microRNA signatures, exosomal vesicles, donor-derived cell-free DNA (dd-cfDNA), HLA and non-HLA antibody repertoires, proteomic, and metabolic profiles—are reshaping transplant surveillance through earlier and more specific insights into graft health. This review integrates data from over 200 recent studies on diagnostic biomarkers across kidney, liver, heart, and lung transplantation. A list of 30 important references is listed in Table 1. The analysis emphasizes cross-organ trends in multi-omics integration, spatial and single-cell profiling, and AI-enabled analytics that collectively predict graft dysfunction with increasing accuracy and reproducibility. Transplant diagnostics is transitioning from single analyte testing to integrated, predictive, and personalized biomarker ecosystems. The convergence of multi-omics assays, machine-learning algorithms, and regulatory standardization is driving this evolution toward pre-informed long-term graft survival strategies. While broad clinical adoption requires further multicenter validation, the next decade will likely see these molecular diagnostics redefine how transplant injury is detected, interpreted, and prevented.

Ritu Pokhrel Dahal2,3 and Tara K. Sigdel1,3*


Article Image 1

Successful Kidney Transplantation from a Donation after Circulatory Death Donor with Chronic Cavitary Pulmonary Aspergillosis: Case Report and Literature Review

The limited supply of available donor kidneys has led to a reexamination of donor selection criteria to meet demand. This reevaluation is also influenced by medical advancements that have allowed for the prompt identification and safe management of donor-transmitted infections without compromising outcomes. Historically, the presence of aspergillosis in a deceased donor has been a contraindication to kidney use in transplantation. However, isolated favorable reports, coupled with successful management of de novo aspergillosis following kidney transplantation, have provided insights regarding the benefits and risks of this strategy. Herein, we report the successful transplantation of a kidney donated after circulatory death from a donor with chronic cavitary pulmonary aspergillosis. Based on literature review and given the benefits of kidney transplantation versus dialysis in the setting of prolonged waiting times, expansion of the donor pool to include kidneys from donors being actively treated for opportunistic infections may be an alternative option to increase utilization and access.

Alejandra M. Mena-Gutierrez1, Ryan C. Maves2, Jonathan E. Kelly3, Scott A. Kaczmorski3, William Doares3, Christopher J. Webb4 , Alan C. Farney4, and Robert J. Stratta4*


Article Image 1

Improved Outcomes Following Simultaneous Pancreas-Kidney Transplantation in the Second Decade of the New Millennium

Introduction: The study purpose was to analyze in consecutive periods our nearly 19-year experience in simultaneous pancreas-kidney transplantation (SPKT) with an emphasis on changes in practice that improved outcomes in the most recent era.

Methods: Single center retrospective cohort study of all SPKTs performed in two sequential eras: Era 1 (E1): 11/1/2001 – 12/31/2010; Era 2 (E2) 1/1/2011 - 8/12/20). Immunosuppression and management protocols were standardized in both eras.

Results: 255 consecutive SPKTs were analyzed (E1, n=126; E2, n=129). By design, E2 patients received organs from younger donors (mean E1 28.1 vs. E2 23.7 years) with shorter pancreas cold ischemia times (CITs, mean E1 16.8 vs. E2 13.4 hours, both p<0.05). In addition, donors with either hypertension or cerebrovascular cause of death were more common in E1 compared to E2 (both p<0.05). More E2 patients received alemtuzumab induction (52.4% E1 vs 97.7% E2, p<0.0001). One-year pancreas graft survival rates (PGSRs, 84.9% Era 1 versus 94.6% Era 2, p=0.02) and four-year PGSRs (70.6% E1 versus 85.5% E2, p=0.002) were significantly higher in E2 and by Kaplan-Meier analysis. In univariate analysis, alemtuzumab induction and E2 were associated with superior and longer pancreas CIT with inferior death-censored PGSRs. Only alemtuzumab induction had a significant (protective) effect on censored PGSR in the multivariate model.

Conclusions: In our experience, optimizing donor quality (younger donors without hypertension or cerebrovascular cause of death), minimizing pancreas CIT, and use of alemtuzumab induction are associated with improved outcomes following SPKT.

Abbreviations

BMI: Body Mass Index; CIT: Cold Ischemia Time; CMV: Cytomegalovirus; DWFG: Death with a Functioning Graft; GSR: Graft Survival Rate; HR: Hazard Ratio; P-E: Portal-Enteric; PTx: Pancreas Transplant; RATG: Rabbit Anti-Thymocyte Globulin; S-E: Systemic-Enteric; SPKT: Simultaneous Pancreas-Kidney Transplant; US: United States

Christopher J. Webb1, Colleen L. Jay1, Emily McCracken1, Matthew Garner1, Jigish Vyas1, Alan C. Farney1, Giuseppe Orlando1, Amber Reeves-Daniel2, Alejandra Mena-Gutierrez2, Natalia Sakhovskaya2, Robert J. Stratta1*


Article Image 1

HIF-1 Prolyl Hydroxylase Inhibitors Attenuate X-Ray-Induced Radiation Nephropathy through Improving Ferroptosis

Radiation nephropathy is the damage to the renal parenchyma and blood vessels caused by ionizing radiation, and its mechanism of injury involves oxidative stress, DNA damage, cellular senescence, and other processes, among which oxidative stress plays an obvious role. In the case of excessive accumulation of oxidative stress products, it can lead to lipid peroxidation and iron distribution abnormalities caused by ferroptosis; the latter is involved in a variety of pathophysiological processes, while currently there is no role in radiation nephropathy. The present study sought to investigate the role of ferroptosis in radiation nephropathy, and the mechanism of FG-4592 in relieviating radiation nephropathy, C57BL/6 mice and TCMK-1 cell are separately irradiated with 12GY, 10GY X-ray to construct radiation nephropathy models in vivo and in vitro. Compared with the control group, X-rays promoted the occurrence of lipid peroxidation and ferroptosis, and oxidative stress and lipid peroxidation products were increased and antioxidant products were decreased in the X-rays-induced radionephropathy model; intervention in ferroptosis could alleviate radiation nephropathy, and FG-4592 could regulate lipid metabolism and oxidative reactions to ameliorate feroptosis and attenuate kidney injury through the modulation of HIF activity. In conclusion, in this study, transcriptome analysis was utilized to screen out the pathways involved in the regulation of radiation nephropathy, which provided the basis for the subsequent study of drug intervention in radioactive kidney injury. And FG-4592 had a certain anti-radiation effect in this experiment, which had a protective effect in radiation nephropathy. This study provides new ideas for the development of novel low toxicity, effective radiation-resistant agents.

Xingli Leng1,2, Peng Yao3, Lin Deng4, Yinyuan Du1, Xia Feng5, Minglin Liu6, and Shaoqing Wang2,7*


Article Image 1

Contribution and Characterization of Lassa fever in Severe Acute Kidney Injury (AKI) in Endemic Areas of Southern Nigeria: A Retrospective Observational Study

Background : Amongst the diverse etiologies of severe acute kidney injury (AKI), Lassa fever (LF) occupies a prominent position in endemic areas of West Africa. However, there is a paucity of studies that compare the characteristics of LF and non-LF-associated cases.
Objectives : To determine the contribution of LF to severe AKI in an endemic area, and compare the illness characteristics and factors associated with mortality in LF versus non-LF-associated AKI.
Methods : We reviewed the records of patients admitted with severe AKI from 1st January 2019 to 30th September 2022 at Irrua Specialist Teaching Hospital (ISTH), and retrieved data on patients’ demography, clinical presentation, treatment, and outcome. We compared the frequencies of categorical data and means of continuous data between patients with LF and those without LF using chi-square test, t-test,and Mann-Whitney U test as appropriate, with the level of statistical significance set at p <0.05.
Results : Fifty-four (41.5%) of 130 patients with severe AKI had LF. LF was associated with a significantly lower mean age (p = 0.013), platelet count (p = 0.010), and mean levels of indices of renal dysfunction (p = 0.02 - <0.001) but there was no significant difference in mortality rates (LF 27.8%; non-LF 39.5%; p = 0.1674). The overall mortality was associated with need for inotropes, requirement for supplemental oxygen, and hemodialysis, and length of admission while the association of mortality with the latter and need for supplemental oxygen was only significant among patients without LF.
Conclusions : LF is a major cause of severe AKI in endemic areas, but it is not associated with any differential risk of mortality perhaps because the associated renal dysfunction is not as severe as in non-LF AKI.

Mojeed O. Rafiu1,2*, Ndidi N. Akerele1 , Samuel A. Dada3 , Christian E. Erohubie1 , Sulaiman D. Ahmed1,2, Osahogie I. Edeawe4 , Yemihan N. Ogbetere5 , Johnbull M. Akerele6 , Adewale E. Adetunji7 , Sampson O. Owhin8 , Kingsley Osuji9 , Stephan Günther10, Chukwuemeka O. Azubike1,11, Peter O. Okokhere2 , and George O. Akpede7,12**


Article Image 1

Management Outcome and Associated Factors among Patients with Chronic Kidney Disease at Selected Tertiary Hospitals in Ethiopia: A Multi Center Prospective Observational Study

Aim: With an exponential rise in incidence and death over time, chronic kidney disease has become a major hazard to the world. Patients with chronic renal disease who were dependent on dialysis were dying at a rising rate in Ethiopia. The study’s objectives were to ascertain the management outcomes and associated factors for patients with chronic renal disease at selected Ethiopian tertiary hospitals.

Methods: A prospective observational study was carried out in a few Ethiopian tertiary hospitals from June 30, 2022 to March 30, 2023 among patients with chronic kidney disease who were not reliant on dialysis. Consecutively, 170 study participants were enrolled. Data abstraction, interviewer-administered surveys, and phone follow-up formats were used to gather data. Versions 4.6.0 and 25 of the Statistical Packages for Social Science were utilized for data entry and statistical analysis, respectively. Cox regression analysis, both bivariate and multivariate, was used to find the factors that predicted the death from chronic renal disease. A statistically significant p-value was one that was ≤ 0.05.

Result: Over 649.266 person-months, 170 patients were followed. Of these patients, 120(70.6%) were male and the mean (± SD) age of the patients was 45.19 ± 13.86 years. Overall, 71 (41.8%) were died with an estimated 109 deaths per 1000 person-months. The mean survival time was 116.9 days (95% CI:105.3-128.5). Hypertension (90%), anemia (95.8%), and edema (99.4%) were the most frequently prevalent comorbidity and complications. Severe anemia at admission [AHR=3.3, 95% CI,(1.39-7.8)], systolic blood pressure > 159 mmHg [AHR= 4.65, 95%CI(2.07-10.42)], modified Charleston comorbidity index score ≥ 5 [AHR=5.00, 95% CI(2.60-9.64)], and uremic encephalopathy [AHR=2.58, 95% CI,(1.45-4.5)] were predictors of chronic kidney disease patients’ mortality.

Conclusion: Among patients with chronic renal disease, the overall mortality rate was high. Hypertension, anemia, and edema were the common comorbidity and complications. Severe anemia, systolic blood pressure > 159 mmHg, modified Charleston comorbidity index ≥ 5, and uremic encephalopathy were predictors of mortality. As a result, patients with chronic renal disease would likely have a lower death rate if these factors were specifically managed.

Gorfineh Teshome Tesfaye¹, Aster Wakjira Garedow²*, Gosaye Mekonnen Tefera³, and Mengist Awoke Yizengaw²


Article Image 1

Does Hemodialysis Patients Have A Better Quality of Life Than Peritoneal Dialysis Patients?

Objective : To systematically evaluate the effect of peritoneal dialysis and hemodialysis on patients’ quality of life.

Methods : Computer searched the quality of life of patients comparing peritoneal dialysis and hemodialysis in CNKI, Wanfang database, VIP database, the Cochrane Library, PubMed and Web of Science database, searching the database until November 30,2023. Statistical analysis and mapping were performed using the Review Manager 5.3 software.

Results : A total of 26 articles were included for a total of 25501 study subjects. The results of the Meta-analysis showed that, Compared with the hemodialysis patients, The Peritoneal dialysis patients had better quality of life (MD= -9.36, 95%CI =-13.45~-5.26, P<0.001), In the physiological function (MD=2.34, 95%CI =0.134.56, P <0.05), physical pain (MD=3.82, 95%CI=0.836.81, P <0.05), general health (MD=1.57, 95%CI=1.052.08, P <0.05), psychological status (MD=1.94, 95%CI=0.033.85, P <0.05) and the domain differences were significant.

Conclusion: Peritoneal dialysis patients have better quality of life than hemodialysis patients

Zhao Ruobing¹*, Zhang Wei², Sun Mengdi¹ and Yang Chao¹


Article Image 1

Times in Range and Nutrition of Individuals on Hemodialysis and Diabetes

Individuals with diabetes and hemodialysis present a challenge in metabolic control and nutritional adjustment with high nutrient demand. Traditional blood glucose measurement controls, such as self-monitoring, glycated hemoglobin (A1C), and fructosamine, remain uncertain as they do not present the entire picture of glycemic incursions. This review seeks to collect evidence on the efficacy of continuous glucose monitoring, nutritional adjustment, and adequate metabolic control in people with diabetes and hemodialysis. Currently, continuous glucose monitoring plays an essential role in the metabolic control of these individuals, as well as in glycemic variability. No individual standard is exclusive to these conditions concerning the values of the times in range. However, the American Diabetes Association does allow the identification of the average values for high-risk populations and comorbidities associated with diabetes, such as kidney disease. Synchronous metabolic control and nutritional monitoring go hand in hand in people with diabetes and hemodialysis, this being a pillar in comprehensive management to reduce complications and improve the quality of life of these individuals.

Jenny L. Cepeda-Marte1*, Daniela D. Salado-Díaz1,2, Alma M. Hernández-Gómez2, Florangel Guzmán Lora2, Naomi Ruiz2, and Daniela Ortiz2


Article Image 1

Health Mindset and One Year Outcomes in Adult Peritoneal Dialysis (PD) Patients

Background : Many patients who start peritoneal dialysis (PD) transition to hemodialysis (HD) after a PD-related complication. Patient psychological factors may influence clinical outcomes. One possible factor is health mindset, or patient belief that their health knowledge and ability can change. The goal of this study is to evaluate the longitudinal associations of baseline health mindset with patient outcomes after one year.

Methods : The Health Mindset Scale (HMS, score 3-18) was administered on paper during clinic to a convenience sample of 100 adult PD patients, to quantify patient mindset along a continuum from fixed mindset (lower scores) to growth mindset (higher scores). Participants were 31% African American, 4% Hispanic, and 64% White American. Demographic and comorbid information were abstracted from medical records. Outcomes assessed at 1 year were death, transition to HD, renal transplant, and maintaining PD.

Results : HMS scores were highest in patients who subsequently received a renal transplant (mean 15, SD 2.1), indicating a growth mindset. HMS scores in patients who died were lower (mean 10, SD 5.2) suggesting a more fixed mindset. Among those who maintained PD, HMS scores were between fixed and growth mindset (mean 12.8, SD 4.2) and similar to those who transitioned to HD (mean 13, SD 4.2). One-way ANOVA for difference in HMS scores by clinical outcome was p = 0.042.

Conclusions : This initial longitudinal study suggests associations between mindset and clinical outcomes. The HMS is a novel and easily administered instrument that quantifies one patient psychological component that could contribute to patient outcomes, and that could also be modified. The HMS may identify individuals who could benefit from specific interventions to favor a growth mindset, with the goal of supporting optimal clinical outcomes.

Rachel B. Fissell¹*, Marcus G. Wild², David Schlundt², Devika Nair¹, Ebele M. Umeukeje¹, Claudia Mueller³, Andrew Guide, Robert Greevy,  and Kerri L. Cavanaugh¹


Article Image 1

Argatroban Versus Heparin Catheter Locks for Haemodialysis Central Venous Catheters: A Single-Centre Randomized Controlled Trial

Introduction : Argatroban is a promising locking solution regarding antithrombotic properties but has rarely been reported before. The objective of this study was to preliminarily verify the safety and effectiveness of argatroban as a catheter lock compared with sodium heparin.

Methods : This was an open-label randomized controlled trial of 50 consenting haemodialysis patients in one dialysis unit. Intervention: 2 weeks of use of 0.5 mg/mL argatroban or 1000 IU/mL heparin locked postdialysis in the dead space of the central venous catheter. Primary outcome of change from baseline (before a dialysis session) in the activated partial thromboplastin time (aPTT) 30 min after locking. Secondary outcomes were changes in aPTT between baseline and before the next dialysis session, catheter thrombosis defined by catheter eradication or the use of urokinase lock and infusion, catheter-related bacteremia and exit-site infection, and bleeding events.

Results: The aPTT measured 30 min after locking was significantly higher in the heparin group than in the argatroban group (P<0.001). In addition, within-group comparisons showed that in the heparin group, the aPTT measured 30 minutes post locking was significantly higher than that measured at baseline and the end of the 1st HD (P<0.001), whereas the argatroban group showed no significant change in aPTT 30 minutes post locking compared to baseline and post HD values (P>0.05). Other secondary end points did not differ.

Conclusion: This study shows that argatroban can provide antithrombotic effects similar to those of heparin without affecting systemic coagulation. Argatroban locking solution is an effective short-term locking solution.

Yiqin Wang, Qingtao Zhang, Jianhui Zhou, Ping Li, Lei Zhang, Yong Wang, Xueying Cao, Li Zhang, Chan Li, Jie Wu, Shupeng Lin, Zhe Feng, Guangyan Cai, and Xuefeng Sun*